Chirurgia, la gamba bionica di Mario salvata da una protesi di caviglia su misura
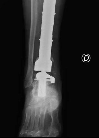
(Adnkronos) – Una protesi di caviglia costruita su misura salva la gamba bionica di Mario, paziente 80enne protagonista di un raro intervento eseguito al Policlinico Gemelli di Roma e definito "unico nel suo genere". Una travagliata storia a lieto fine cominciata una decina di anni fa quando Mario, ex coltivatore diretto, fu colpito da un cancro alle ossa. Ancora oggi, nonostante gli anni e gli acciacchi, Mario continua a occuparsi del suo orticello in una campagna in provincia di Viterbo. Ma sono tanti gli ostacoli che l'anziano ha dovuto superare e che sono iniziati 10 anni fa con un dolore sempre più forte e insistente alla gamba destra. Dopo una serie di esami, l'ortopedico consultato da Mario gli ha comunicato che quei fastidi erano causati da un tumore osseo raro (un adamantinoma) a carico della tibia. Alla diagnosi è seguita la resezione del tumore con impianto di una mega-protesi di tibia prossimale, cioè nell'area vicino al ginocchio. Dopo circa un anno dall'intervento, però, una grave infezione della protesi impiantata ha costretto Mario a subire una serie di complessi interventi chirurgici che si sono conclusi con l'impianto di una protesi totale di gamba e di caviglia in titanio, rivestita in argento per evitare nuove infezioni. Una gamba bionica. Ma ancora non era finita. A distanza di 6 anni, Mario torna dagli ortopedici del Gemelli per un dolore alla caviglia. Gli esami rilevano la rottura di una vite della protesi, a livello della caviglia. E' necessario sostituire il pezzo, ma l'unico modo per farlo – decretano gli specialisti – è facendo confezionare una protesi 'custom-made', disegnata e realizzata su misura. Gli ortopedici del Gemelli inviano perciò la Tac di Mario all'Implantcast, una ditta specializzata di Buxtehude, cittadina a sud ovest di Amburgo, in Germania. Basandosi sulla ricostruzione tridimensionale della caviglia bionica di Mario, i bioingegneri realizzano un calco della protesi custom-made con una stampante 3D, sul quale viene realizzata la protesi in titanio per l'impianto definitivo. Ed ecco l'intervento effettuato da Carlo Perisano, professore aggregato dell'Università Cattolica del Sacro Cuore e dirigente medico presso la Uoc di Ortopedia e Traumatologia della Fondazione Policlinico Gemelli, diretta da Giulio Maccauro. L'operazione dà i suoi frutti: "A distanza di appena qualche giorno dall'intervento, Mario sta di nuovo in piedi sulla sua gamba bionica arricchita di quest'ultimo gioiello tecnologico", riferiscono dall'Irccs capitolino. (segue) —salutewebinfo@adnkronos.com (Web Info)
