Abusi sessuali nella Chiesa di Bolzano e Bressanone: 67 casi accertati
(Adnkronos) - Abusi sessuali nella Chiesa altoatesina. Sono 67 i casi accertati di molestie su minori avvenuti nelle Diocesi di...
(Adnkronos) - Abusi sessuali nella Chiesa altoatesina. Sono 67 i casi accertati di molestie su minori avvenuti nelle Diocesi di...
(Adnkronos) - "La musica, così come le iniziative sui libri e la cultura, sono il veicolo della vita, della convivenza,...
(Adnkronos) - Roma, 20 Gennaio 2025-Fondata in America dal prof. Mario Lisco e in Italia con il prezioso aiuto di...
(Adnkronos) - L’installazione permanente, nata da una partnership tra il Gruppo Villa Claudia e Explora – Il Museo dei Bambini...
(Adnkronos) - Milano, 20 gennaio 2025 – Qonto, la soluzione di gestione finanziaria aziendale leader in Europa per PMI e...
(Adnkronos) - La stagione iniziata col turbo frutta a Lorenzo Sonego un salto in alto nel ranking Atp, + 20...
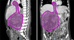
(Adnkronos) - Sei cicli di chemioterapia, poi nove ore di intervento ma ora il tumore di circa 1,5 chili di...
(Adnkronos) - "Torniamo a chiedere ancora una volta che la ministra Santanchè lasci il suo incarico e per questo abbiamo...
(Adnkronos) - Istituita dal Parlamento nel 2024 per sensibilizzare contro ogni forma di bullismo e discriminazione oggi, 20 gennaio, si...
(Adnkronos) - TikTok ha avviato il ripristino dei propri servizi negli Stati Uniti dopo che il presidente Donald Trump ha...